
कटऑफ रूट के हिसाब से ग्राफ्ट स्टेंट का पहला मामला आईजीएमसी में आया है। जानकारी के मुताबिक
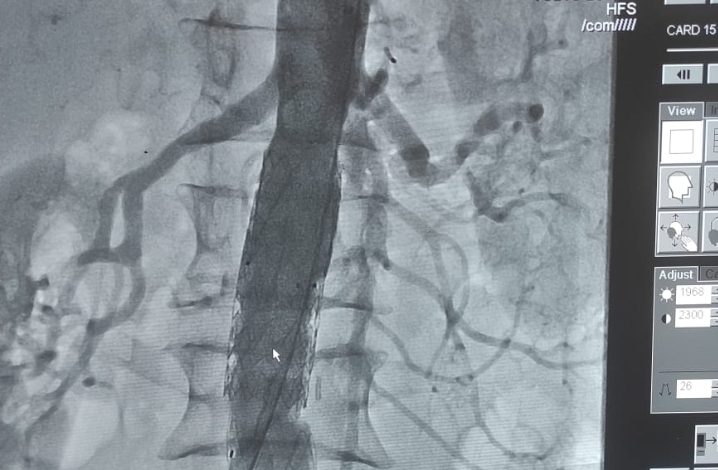
एक मरीज पर कार्डियोलॉजी विभाग के डॉक्टरों IGMC शिमला द्वारा percutaneous स्टेंट ग्राफ्ट का मामला पेश किया गया, जो कि चिरगाँव रोहड़ू से हैं। जो 66 पुरुष है और पेशे से किसान है।
हिमाचल प्रदेश में इस तरह काम प्रथम बार हुआ है।

यह मरीज पहली बार 31/12/20 को शिमला आया था, जिसमें पेट में दर्द और 5 दिनों की अवधि के बाद उसकी सर्जरी की गई थी, उसे सर्जरी विभाग में देखा गया था और सीटी पेट पर पेट की महाधमनी धमनीविस्फार पाया गया था, जो मुख्य धमनी का पतला होना था। यह खतरनाक है क्योंकि यह टूट सकता है और अचानक मौत का कारण बन सकता है।
इस मरीज को CTVS विभाग भेजा गया था, जहाँ पेट खोलकर सर्जरी का प्रयास किया गया था, लेकिन कुछ कारण से यह सफल नहीं था।
तब शल्यचिकित्सा विभाग ने सर्जरी के बिना धमनीविस्फार को बंद करने का प्रयास करने के लिए कार्डियोलॉजी विभाग में डॉ राजीव मारवाहा से संपर्क किया।
मामले का पुनर्मूल्यांकन किया गया और एक अन्य सीटी का प्रदर्शन किया गया और मामले की योजना बनाई गई।
सामग्री की आपूर्ति बहुत कम कंपनियों द्वारा की जाती है, इसलिए मुख्य समस्या प्रशिक्षित तकनीशियन की उपलब्धता की थी, जो मुंबई से आता है, और दूसरी समस्या वित्त की थी, क्योंकि इस लागत में लगभग 5 लाख रुपये थे, और रोगी बहुत गरीब किसान है।
मरीजों को HIMCARE के अधीन है, जहां उनके पास कुछ पैसे थे, लेकिन अतिरिक्त राशि की आवश्यकता थी जो कि मरीजों को स्थानीय विधायक नरेंद्र ब्रागटा द्वारा प्रदान की गई थी।अंतिम परिणाम बहुत सफल रहा है और रोगी ठीक कर रहा है।उसे 2 दिनों के बाद छुट्टी दे दी जाएगी।



